Greenville SC Cosmetic Dental Gallery

Dentistry Before and After Photos

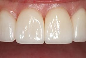
before

Before

Amanda S. Crumpton, DMD PA | Teeth Whitening, Oral Cancer Screening and Sports Mouthguards

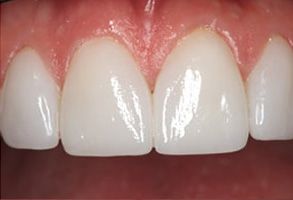
After

Amanda S. Crumpton, DMD PA | Dental Cleanings, Dental Bridges and Oral Exams

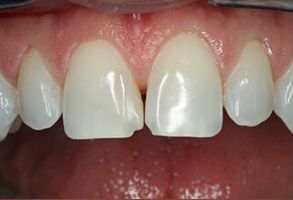
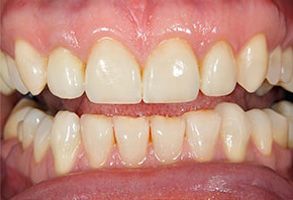
Before

Amanda S. Crumpton, DMD PA | Teeth Whitening, Dental Cleanings and Ceramic Crowns

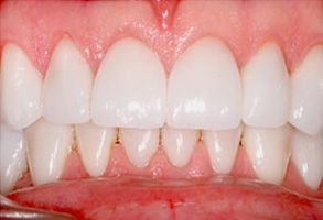
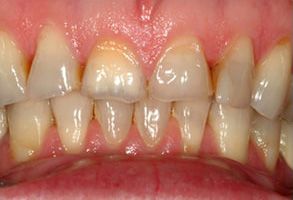
After

Amanda S. Crumpton, DMD PA | Ceramic Crowns, Preventative Program and Sedation Dentistry

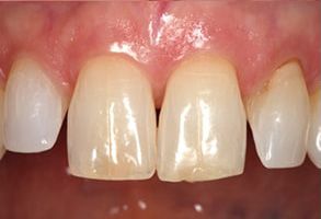
Before

Amanda S. Crumpton, DMD PA | Oral Cancer Screening, Dental Bridges and Dental Cleanings

After

Amanda S. Crumpton, DMD PA | Periodontal Treatment, Digital Radiography and Night Guards

Before

Amanda S. Crumpton, DMD PA | Dental Bridges, Periodontal Treatment and Sports Mouthguards

After

Amanda S. Crumpton, DMD PA | Dental Fillings, Veneers and Oral Cancer Screening

Before

Amanda S. Crumpton, DMD PA | Sedation Dentistry, Preventative Program and Periodontal Treatment

After

Amanda S. Crumpton, DMD PA | Sports Mouthguards, Dental Cleanings and Periodontal Treatment

Before

Amanda S. Crumpton, DMD PA | Dental Cleanings, Teeth Whitening and Ceramic Crowns

After

Amanda S. Crumpton, DMD PA | Dental Fillings, Teeth Whitening and Oral Cancer Screening

Before

Amanda S. Crumpton, DMD PA | Dental Fillings, Preventative Program and Emergency Treatment

After

Schedule a visit today!
Contact Us
Submit

Thank You!

We appreciate you taking the time to visit our site. We'll review your message and be in touch with you soon.

Continue
Dentist 29615